TẮC TÁ TRÀNG BẨM SINH: HƯỚNG TIẾP CẬN CHẦN ĐOÁN TIỀN SẢN
Ths.Bs. Nguyễn Xuân Công*, TS BS Tạ Thị Thanh Thủy*
Ths.Bs.Hà Tố Nguyên**,
* Bệnh viện Phụ sản Mekong ** Bệnh viện Từ Dũ
I. ĐẠI CƯƠNG
1. Định nghĩa, thuật ngữ:
Tắc tá tràng bẩm sinh (Congenital Duodenal Obstruction – CDO) là hậu quả của những sai sót trong quá trình phát triển phôi thai học của cơ quan tiêu hóa nguyên thủy dẫn đến sự gián đoạn lưu thông bẩm sinh hoàn toàn hoặc không hoàn toàn của tá tràng[1]. Chúng ta cần phân biệt hai thuật ngữ là teo tá tràng và hẹp tá tràng.
- Teo tá tràng (Duodenal Atresia-DA): là thuật ngữ được dùng để chỉ tình trạng bị teo hẹp hoặc bất sản của lòng tá tràng dẫn đến tắc hoàn toàn.
- Hẹp tá tràng (Duodenal Stenosis-DS): là thuật ngữ được sử dụng để chỉ tình trạng hẹp dẫn đến tắc nghẽn không hoàn toàn của lòng tá tràng và nguyên nhân thường do màng ngăn.
2. Tần suất:
Tắc tá tràng bẩm sinh là một bệnh hiếm gặp với tỷ lệ 1/2500 – 1/10000 trẻ được sinh ra. Gặp ở bé trai nhiều hơn ở bé gái.
Khoảng 80% các trường hợp là tắc hoàn toàn và ở đoạn cuối bóng Vater, 20% tắc là do màng ngăn ở trong lòng ống và có thể gây tắc hoàn toàn hay một phần [2].
3. Nguyên nhân, cơ chế bệnh sinh, phân loại
Nguyên nhân hiện nay vẫn chưa được biết rõ. Một số giả thuyết cho rằng có hai nhóm nguyên nhân chính: (1) Nguyên nhân nội tại do bất thường trong quá trình tạo lòng ống tiêu hóa trong phôi thai; (2) Các nguyên nhân bên ngoài như ruột xoay bất toàn, dây chằng Ladd, tụy hình nhẫn, tĩnh mạch cửa trước tá tràng.
Tụy hình nhẫn là một trong những nguyên nhân gây chèn ép bên ngoài dẫn đến hẹp tá tràng. Tuy nhiên tụy nhẫn thường có kết hợp với màng ngăn hoặc tắc hẹp do bất thường nội tại trong hình thành phôi thai.
Gray and Skandalakis đã phân loại tắc hẹp tá tràng thành 3 thể lớn trong đó loại I thường gặp nhất (>90%), loại III thường kết hợp bất thường về đường mật và tụy.
A. Hẹp tá tràng: Do màng ngăn niêm mạc có lỗ.
B. Type I: Teo tá tràng do màng ngăn hoàn toàn làm teo đoạn sau và phình dãn đoạn trước. Màng ngăn gồm lớp niêm mạc và lớp dưới niêm mạc.
C. Type II: Teo tá tràng có hai đầu tận cùng của tá tràng được tiếp nối bởi một dây xơ dọc theo mép của mạc treo ruột.
D. Type III. Teo gián đoạn tá tràng, không có dây xơ nối giữa hai đầu tận cùng của tá tràng, mạc treo khuyết hình chữ V.

T. Akin, S.W. Gray, J.E. Skandalakis, eds. Varcula compresstion of the duodenun: presentation of ten case and review of the liseratur
II. SIÊU ÂM CHẨN ĐOÁN
1. Tiêu chuẩn chẩn đoán trên siêu âm tắc tá tràng:
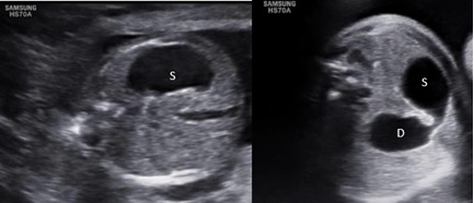
Hình ảnh kinh điển là bóng đôi thông nhau kèm đa ối. Hình bóng đôi là của dạ dày và đoạn gần tá tràng bị dãn rộng do teo hẹp tá tràng ở đoạn sau. Tiêu chí thông nhau là rất quan trọng để chẩn đoán tắc tá tràng, do đó người siêu âm cần di chuyển đầu dò để tìm hình ảnh thông nhau của bóng đôi.

Hình 1: Hình bóng đôi và bóng đôi thông nhau của dạ dày (S)và tá tràng (D)
Tuy nhiên các dấu hiệu này có thể xuất hiện muộn, cuối quí 2 hay đầu quí 3. Vì vậy, một số trường hợp tắc tá tràng nhưng siêu âm giữa quí 2 (18-21 tuần) chưa xuất hiện đa ối và hình ảnh bóng đôi chưa rõ. Dấu hiện duy nhất có thể gặp là hình ảnh dạ dày dãn lớn với môn vị rất rõ. Các trường hợp này cần siêu âm lập lại và hình ảnh bóng đôi sẽ rõ ở lần khám sau.
Cũng cần lưu ý rằng, một số ít trường hợp hẹp tá tràng không thể chẩn đoán trước sinh vì dấu hiệu bóng đôi không bao giờ xuất hiện trước sinh.

Hình 2: Siêu âm lúc 18 tuần có hình ảnh dạ dày (S) dãn lớn, siêu âm kiểm tra lại 2 tuần sau có hình ảnh bóng đôi thông nhau của dạ dày (S) và tá tràng (D)
Trong một số trường hợp do co thắt chỗ khuyết hang vị có thể gây ra hình ảnh giống “bóng đôi giả” nhưng hình ảnh sẽ biến mất về bình thường sau khi có nhu động ruột. Do vậy cần thời gian quan sát có sự thay đổi của bóng đôi trước khi chẩn đoán.
Một số trường hợp nếu siêu âm ghi nhận đa ối nhưng không kèm theo hình ảnh bóng đôi, thì vẫn không loại trừ được tắc hẹp tá tràng, nên theo dõi thêm ở những lần siêu âm kế tiếp và sau sinh.
2. Chẩn đoán phân biệt:
Hình ảnh bóng đôi cần chẩn đoán phân biệt với những bất thường dạng nang khác của ổ bụng như nang mạc treo, nang mạc nối, nang ruột đôi, nang gan, nang ống mật chủ. Việc chẩn đoán phân biệt rất đơn giản, dựa trên tính chất bóng đôi thông nhau hay không: tắc tá tràng thì bóng đôi sẽ thông nhau.
3. Chẩn đoán nguyên nhân.
Trong giới hạn của bài này chúng tôi đưa ra dấu hiệu “Rat tail” giúp chẩn đoán tắc tá tràng do màng ngăn là nguyên nhân thường gặp nhất của tắc tá tràng.
Màng ngăn tá tràng là một màng mỏng và trong suốt nên không nhìn thấy được trên siêu âm. Tuy nhiên có thể nhận diện bằng dấu hiệu gián tiếp là “Rat tail”.
Khi có màng ngăn, đoạn ruột trên màng ngăn sẽ bị dãn ứ dịch và đoạn ruột dưới màng ngăn dãn nhẹ và hình ảnh giống như cái đuôi chuột nên được gọi là ‘’rat tail’’ sign.
Trong quá trình siêu âm, khi nghi ngờ là tắc tá tràng do có màng ngăn thì nên kiểm tra cấu trúc tụy để loại trừ nguyên nhân do tụy hình nhẫn.

a. Dấu hiệu ‘’rat tail’’ trên mặt cắt ngang bụng (mũi tên xanh)
b. Hình ảnh tụy bình thường (mũi tên đỏ) trên cùng một bệnh nhân có dấu hiệu ‘’rat tail’’ ST: Dạ dày. D: Tá tràng
Xem video
4. Tổn thương phối hợp.
Bệnh có thể gặp đơn thuần hoặc kết hợp với một số bất thường cấu trúc khác hoặc bất thường nhiễm sắc thể. Khoảng 40-50% sẽ kèm theo các bất thường lớn khác như: bất thường ống tiêu hoá, bất thường cột sống, bất thường tim.
Lưu ý bất thường hay gặp nhất là ruột xoay bất toàn và teo đường mật bẩm sinh làm cho tiên lượng xấu hơn nhưng lại khó chẩn đoán trước sinh. Nếu siêu âm ghi nhận không thấy hình ảnh túi mật hiện diện cần nghi ngờ có thể kèm teo đường mật bẩm sinh.
Bất thường nhiễm sắc thể hay gặp nhất là Hội chứng Down (20-50%). Khoảng 4-15% các trẻ sơ sinh bị hội chứng Down có kèm theo tắc tá tràng.
III. TIÊN LƯỢNG VÀ HƯỚNG XỬ TRÍ
1. Tiên lượng.
- Tiên lượng của tắc tá tràng thường tốt nếu đơn độc, tỷ lệ sống còn lên đến >90%.
- Tiên lượng xấu nếu có bất thường di truyền hoặc bất thường khác kèm theo.
2. Hướng xử trí.
2.1 Trước sinh: Do tắc tá tràng có liên quan đến bất thường nhiễm sắc thể nên cần được tư vấn chọc ối thử nhiễm sắc thể đồ.
2.2 Kế hoạch sinh: Do nguy cơ sinh non, các bất thường khác kèm theo và phải phẫu thuật trong giai đoạn sơ sinh nên thai phụ cần được theo dõi sinh ở tuyến trên nơi có khoa hồi sức tích cực sơ sinh tốt và phẫu thuật sau sinh.
2.3 Sau sinh: Phẩu thuật được thực hiện ngay sau khi bé chào đời. Tùy thuộc vào nguyên nhân gây tắc tá tràng mà có phương pháp phẩu thuật khác nhau:
- Nối tá - tá tràng:Tắc do teo tá tràng ở Dl, D2, tắc tá tràng do tụy nhẫn.
- Nối tá - hỗng tràng: Tắc tá tràng ở vị trí D3 và D4.
- Thủ thuật Ladd: Tắc tá tràng do dây chằng Ladd.
- Cắt màng ngăn tá tràng: Tắc tá tràng do màng ngăn.
IV. KẾT LUẬN
Tắc tá tràng là nguyên nhân thường gặp nhất của tắc ruột non và cần được điều trị phẫu thuật ở giai đoạn sơ sinh nên việc chẩn đoán trước sinh là rất quan trọng để có kế hoạch sinh cho thai phụ và điều trị cho trẻ ngay sau sinh.
Dấu hiệu kinh điển để chẩn đoán trước sinh là bóng đôi thông nhau và đa ối. Lưu ý các dấu hiệu này có thể xuất hiện muộn, cuối quí 2 đầu quí 3 hay có một số trường hợp tắc bán phần không thể chẩn đoán trước sinh và dấu hiệu có thể duy nhất gợi ý đó là hình ảnh dạ dày dãn lớn với môn vị rất rõ.
Siêu âm trước sinh có thể phát hiện nguyên nhân gây tắc tá tràng thường gặp nhất là do màng ngăn dựa vào dấu hiệu ”rat tail’’.
Tiên lượng bệnh tốt với tỷ lệ sống còn trên 90% nếu đơn thuần.
Thai phụ cần được tư vấn chọc ối vì nguy cơ bất thường nhiễm sắc thể có thể đi kèm trong 40% các trường hợp tắc tá tràng.
Tài liệu tham khảo
1. Paula J.Woodward, A. Kenedy, R. Sohae et al (2005). Gastrointestine. Diagnostic Imaging Obstetrics. First edition. Amirsys, Utah; 245.
2. D. Paladini, P. Volpe et al (2007). Anomalies Of The Gastrointestinal Tract And Abdominal Wall. Ultrasound of Congenital Fetal Anomalies. First edition. Informa, UK; 215-220.
3. Charles J. Yeo, Jeffrey B. Matthews (2018). Surgical Disease of the Stomach and Duodenum in Infants and Children. Shackelford’s Surgery of the Alimentary Tract. Eighth edition. Elsevier, Philadelphia; 776-778.
4. Grosfeld, J.L., Rescorla, F.J. Duodenal atresia and stenosis: Reassessment of treatment and outcome based on antenatal diagnosis, pathologic variance, and long-term follow-up. World J. Surg. 17, 301–309 (1993). https://doi.org/10.1007/BF01658696
5. Eckoldt-Wolke F., Hesse A.A.J., Krishnaswami S. (2020) Duodenal Atresia and Stenosis. In: Ameh E.A., Bickler S.W., Lakhoo K., Nwomeh B.C., Poenaru D. (eds) Pediatric Surgery. Springer, Cham. https://doi.org/10.1007/978-3-030-41724-6_62
6. James O'Neill, Arnold Coran, Eric Fonkalsrud (2006). Duodenal Atresia and Stenosis-Annular Pancreas. Pediatric Surgery. Sixth edition. Elsevier, Philadelphia; 1259-1262.
7. William E Ladd. Congenital obstruction of the duodenum in children. N Engl J Med 1932; 206:277-283DOI: 10.1056/NEJM19320211206060
8. Chan Yin, Lili Tong, Mingxiang Ma, Xiaoqun Tan, Guoliang Luo Zhihui Feiand Dan Nie. The application of prenatal ultrasound in the diagnosis of congenital duodenal obstruction.BMC Pregnancy and Childbirth (2020) 20:387 https://doi.org/10.1186/s12884-020-03078-5