THAI NGOÀI TỬ CUNG MẠN TÍNH- HUYẾT TỤ THÀNH NANG
Chronic Ectopic Pregnancy- Encysted Haematocele
Bs Nguyễn Thị Mộng Nghi- BS Nguyễn Xuân Lan- Bs Hà Tố Nguyên
Khoa Chẩn đoán hình ảnh- Bệnh viện Từ Dũ
Download file PDF
MỞ ĐẦU:
Thai ngoài tử cung mạn tính (TNTCMT) là một thể hiếm gặp của thai ngoài tử cung ở tai vòi. Các nguyên bào nuôi được cho là xâm nhập vào tai vòi làm phá hủy cấu trúc mô tại vị trí làm tổ và gây xuất huyết rỉ rả kéo dài. Sự hiện diện của máu, tế bào nuôi và mô ống dẫn trứng trong khoang phúc mạc sẽ kích thích tạo phản ứng viêm để bịt kín vùng tổn thương này và hình thành nên khối máu tụ trong vùng chậu[1] .
Chẩn đoán TNTCMT luôn là một thách thức cho các nhà lâm sàng vì triệu chứng lâm sàng mơ hồ, sinh hóa lẫn hình ảnh học đều không điển hình, không đặc hiệu. Định lượng nồng độ beta HCG máu rất thấp hoặc âm tính vì các nguyên bào nuôi ít và phân tán [2]. Hình ảnh siêu âm của TNTCMT cũng rất đa dạng và trùng lấp với các khối u phần phụ hay các bệnh lý viêm nhiễm vùng chậu cấp tính, áp-xe vùng chậu và lạc nội mạc. Lưu ý ung thư loại tế bào mầm thường kèm theo tăng Beta HCG nên chúng ta cần đánh giá để loại trừ bệnh lý ác tính này trước khi nghĩ đến chẩn đoán TNTCMT[3]. MRI thường được chỉ định để hỗ trợ chẩn đoán vì siêu âm không thể chẩn đoán xác định. Chẩn đoán xác định thường chỉ sau khi phẫu thuật và có khi phải cần đến bằng chứng trên giải phẩu bệnh mô bệnh phẩm sau mổ.
Chúng tôi báo cáo hai trường hợp hình ảnh chẩn đoán (siêu âm& MRI) và đại thể lúc mổ đều nghĩ đến TNTCMT. Nhưng kết quả mô bệnh học thì chỉ có một trường hợp TNTCMT và trường hợp còn lại là lạc nội mạc tử cung ở vùng chậu. Điều này cho thấy chẩn đoán TNTCMT trước mổ thật sự là một vấn đề khó.
Từ khóa: Thai ngoài tử cung-ectopic pregnancy; Thai ngoài tử cung mạn tính- chronic ectopic pregnancy; Thai ngoài tử cung ở tai vòi mạn tính- chronic tubal ectopic pregnancy; Huyết tụ thành nang-Encysted hematocele.
CA LÂM SÀNG:
TRƯỜNG HỢP 1:
– BN nữ, 17 tuổi, đến khám bệnh viện Từ Dũ vì trễ kinh 1 tháng, ra huyết âm đạo ít.
– Bệnh sử: BN trễ kinh 1 tháng và ra huyết âm đạo ít 3 ngày nay, đau bụng ít vùng hạ vị=> khám tại bệnh viện.
– Tiền căn: Không sử dụng biện pháp ngừa thai khi giao hợp, không ghi nhận bệnh lý phụ khoa trước đó.
– Khám LS: BN tỉnh, tiếp xúc tốt, sinh hiệu ổn, không sốt, đau ít vùng hạ vị, khám âm đạo thấy tử cung không to, cùng đồ sau có 1 khối #8-9 cm lệch về bên (P), ấn đau ít, âm đạo ít huyết sậm.
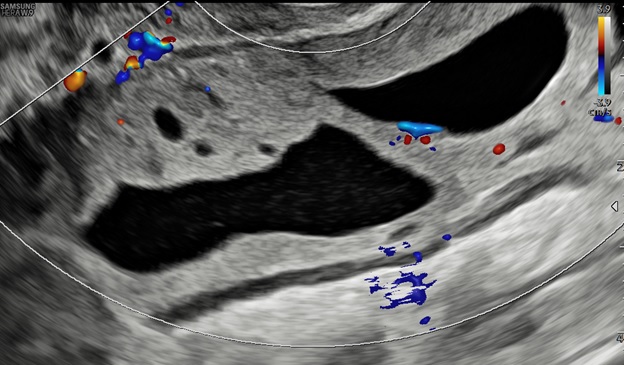
– Siêu âm: Tử cung và buồng trứng (T) bình thường, buồng trứng (P) không quan sát thấy. Từ cùng đồ sau lan qua hố chậu (P) có 1 khối echo hỗn hợp không đồng nhất, kích thước# 105x 98x 59 mm, bên trong có nhiều mảng echo dày bờ không đều, di động khi di chuyển đầu dò, có tăng sinh mạch máu mức độ 3 Ở ngoại vi khối này có hình ảnh mô buồng trứng bình thường. Dịch cùng đồ# 8 mm.
– Chẩn đoán siêu âm: Theo dõi khối huyết tụ thành nang (HTTN) chưa loại trừ khả năng: u đơn thùy buồng trứng (P) có mảng xuất huyết bên trong.

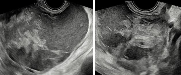
Hình 1: Mặt cắt ngang qua bụng trên thang xám và Doppler, khối u nằm sau tử cung lệch qua hố chậu phải có khối phản âm hỗn hợp không đồng nhất, có tăng sinh mạch máu ngoại vi

Hình 2: Mặt cắt dọc và ngang qua ngã âm đạo thấy khối u có phản âm hỗn hợp, bên trong có nhiều mảng phản âm dày, di động khi di chuyển đầu dò, giúp hướng đến bản chất xuất huyết.
– Xét nghiệm: WBC: 11500/uL (80% Neu), Hb: 10.8 g/dl, Hct: 31.4%, PLT: 340.10 9 /l, beta HCG: 815 mIU/ml, sau 2 ngày 700 mIU/ml, CA125: 250U/ml.
– Tường trình phẫu thuật: Tai vòi (P) phình to, đoạn bóng có khối thai # 20 x 30 mm dính vào cùng đồ sau và vách chậu tạo thành khối huyết tụ # 80 x 90 mm, ổ bụng có ít máu loãng đỏ sậm => Chẩn đoán: HTTN to/thai ngoài tử cung ở vòi trứng (P).
– Giải phẫu bệnh: mô ống dẫn trứng có ổ xuất huyết trong đó có lông nhau và tế bào màng rụng=> Thai ở ống dẫn trứng (P).
TRƯỜNG HỢP 2:
– BN nữ, 47 tuổi, PARA 3003, trễ kinh 1 tháng, đến khám bệnh viện Từ Dũ vì còn đau bụng dưới sau điều trị áp xe phần phụ (P) 2 tuần tại tuyến dưới.
– Bệnh sử: Cách nhập viện 2 tuần BN đến khám tại bệnh viện tuyến dưới vì trễ kinh # 14 ngày, đau bụng dưới âm ỉ, liên tục, sốt nhẹ. Bệnh nhân được chẩn đoán áp-xe phần phụ phải và điều trị kháng sinh trong hai tuần.
– Tiền căn: Mổ triệt sản cách đây # 7 năm, kinh nguyệt đều, đau bụng ít khi hành kinh.
– Khám LS: BN tỉnh, tiếp xúc tốt, sinh hiệu ổn, không sốt, đau hạ vị lệch (P). Khám thấy tử cung to nhẹ, âm đạo không huyết, cùng đồ sau có khối # 10x 10 cm, ấn đau nhiều.
– Siêu âm: Tử cung và 2 buồng trứng bình thường. Ở cùng đồ sau có cấu trúc echo kém không đồng nhất dạng hình ống, có vách ngăn dày thông nhau, kích thước # 84x 89x 37 mm, bờ trong thành u không trơn láng, bên trong có nhiều mảng echo kém dạng mô đặc, tăng sinh mạch máu mức độ 2. Bụng và cùng đồ: không dịch.
– Chẩn đoán siêu âm: Huyết tụ thành nang. Chẩn đoán khác: áp xe phần phụ.

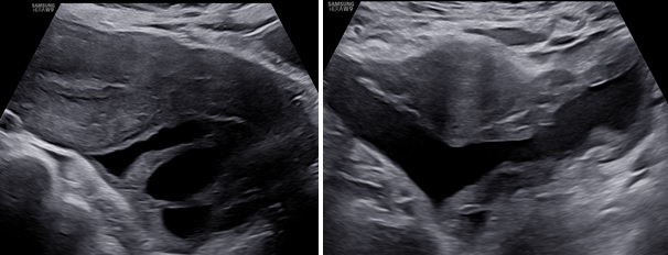
Hình 3: Siêu âm ngã bụng thang xám cắt dọc và ngang cho thấy khối u nằm mặt sau tử cung lan qua hai bên hố chậu.

Hình 4: Siêu âm ngã âm đạo thang xám cho thấy khối u hình ống ở cùng đồ sau nhiều vách ngăn dày thông nhau.

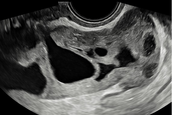
Hình 5: Siêu âm ngã âm đạo cho thấy thành u có tăng sinh mạch máu độ 2
– Xét nghiệm: WBC: 12.103 /uL (57% Neu), Hb: 13.9 g/dl, Hct 42.2%, PLT: 331.109 /L, beta HCG: 0.2 mIU/mL, AFP: 4.15 ng/ml, CA125: 837U/mL, CRP: 2.3 mg/l
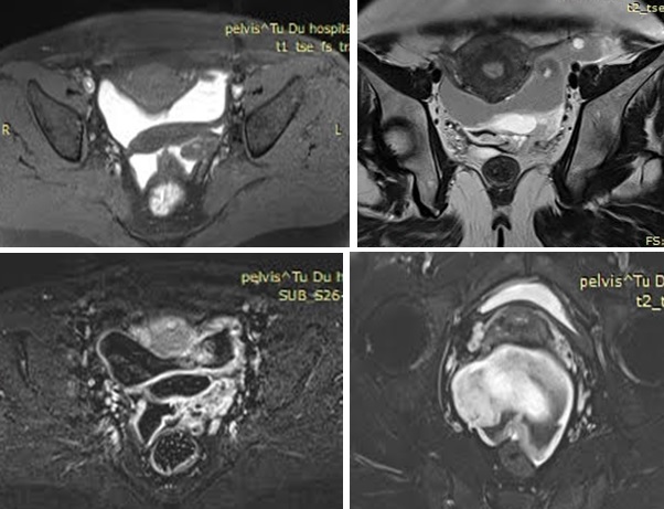
– Bệnh nhân được chụp MRI bụng chậu: Tử cung và hai buồng trứng bình thường. Cùng đồ sau và lan qua hai hố chậu có tổn thương chủ yếu chứa dịch dạng máu với nhiều giai đoạn khác nhau, bên trong không có mô đặc, bắt Gado ở thành, kích thước# 77x 59x 84 mm, tín hiệu trung gian trên T2W, cao trên T1W, cao mạnh trên T1fs, bờ len lỏi giữa các ngách ở vùng chậu.
– Chẩn đoán MRI: Khối tụ máu nhiều giai đoạn vùng cùng đồ lan ra hố chậu hai bên.

Hình MRI: Hình ảnh khối tổn thương dạng dịch máu nhiều giai đoạn, ở cùng đồ sau lan qua hai hố chậu, bờ len lõi giữa các ngách của vùng chậu, tín hiệu trung gian trên T2W, tín hiệu cao trên T1W và cao mạnh tên T1FS
– Tường trình phẫu thuật: Tử cung to# thai 10 tuần, dính hết lên thành bụng trước. Cùng đồ sau có khối huyết tụ to, bờ rõ, chưa vỡ, d# 10x 12x 10 cm chứa dịch vàng nâu. Hai tai vòi có sẹo triệt sản ở vị trí đoạn eo. Hai buồng trứng bình thường => Chẩn đoán: Nang huyết tụ ở cùng đồ sau.
– Giải phẫu bệnh: Lạc nội mạc tử cung ở cùng đồ sau.

Kết quả giải phẩu bệnh: Lạc nội mạc cùng đồ sau
Video siêu âm hai trường hợp trên
BÀN LUẬN:
1. Định nghĩa- tần suất
Thai ngoài tử cung là tình trạng thai làm tổ ngoài buồng tử cung với vị trí thường gặp nhất là ở tai vòi (>95%). Thai ngoài tử cung mạn tính là một thể hiếm gặp của thai ngoài tử cung ở tai vòi với tần suất thật sự chưa rõ. Theo một số báo cáo được ghi nhận trên y văn, tần suất TNTCMT từ 6-20% và dao động khá nhiều do tiêu chuẩn chẩn đoán của các nghiên cứu khác nhau[3.4].
2. Cơ chế sinh bệnh học:
Các nguyên bào nuôi được cho là xâm nhập vào tai vòi làm phá hủy cấu trúc mô tại vị trí làm tổ. Hậu quả là ống dẫn trứng bị vỡ-nứt và gây xuất huyết rỉ rả kéo dài. Sự hiện diện của máu, tế bào nuôi và mô ống dẫn trứng trong khoang phúc mạc sẽ kích thích tạo phản ứng viêm để bịt kín vùng tổn thương này và hình thành nên khối máu tụ trong vùng chậu. Khối máu tụ thường bị dính với các cơ quan lân cận như mạc nối, ruột, tử cung… . Vì vậy một thuật ngữ khác của bệnh lý này vẫn còn được các nhà lâm sàng sử dụng là huyết tụ thành nang (Encysted Haematocele). Tuy nhiên thuật ngữ này thật sự không phù hợp vì không đúng với nguồn gốc sinh bệnh học.
3. Chẩn đoán:
Chẩn đoán TNTCMT luôn là một thách thức cho các nhà lâm sàng vì triệu chứng lâm sàng mơ hồ, Beta HCG rất thấp hoặc âm tính và hình ảnh siêu âm không điển hình, không đặc hiệu. Do vậy, chẩn đoán thường được xác định chỉ sau khi phẫu thuật và có khi quan sát đại thể lúc mổ vẫn chưa phải là chẩn đoán xác định cuối cùng như ca thứ hai của bài báo cáo này.
3.1 Triệu chứng lâm sàng
Tương tự như các thể khác của TNTC, bệnh nhân trễ kinh, đau bụng và ra huyết âm đạo bất thường. Tuy nhiên các triệu chứng thường nhẹ và mơ hồ nhưng thời gian kéo dài lâu hơn.
3.2 Sinh hoá máu
Định lượng nồng độ beta HCG thường giúp chẩn đoán và định hướng xử trí thai ngoài tử cung. Tuy nhiên trong TNTCMT, nồng độ beta HCG rất thấp hoặc âm tính vì các nguyên bào nuôi ít và phân tán.
3.3 Siêu âm
Hình ảnh siêu âm của TNTCMT cũng rất đa dạng, có thể là một khối u vùng chậu có hình dạng không nhất định, không tăng sinh mạch máu cho đến một khối u phức tạp có tăng sinh mạch máu nhiều[2]. Tuy nhiên do bản chất là máu nên khối u thường có phản âm rất kém hoặc kính mờ. Ở giai đoạn muộn, cục máu đông có thể phản âm dày nên nhầm với phần đặc của khối u buồng trứng. Hai buồng trứng thường được nhìn thấy tách biệt với khối này. Tuy nhiên trong nhiều trường hợp, buồng trứng bên phía vị trí thai ngoài bị dính với khối này nên giống hình ảnh một khối u buồng trứng nhưng còn hình ảnh mô bình thường xung quanh (ovarian crescent sign). Hình ảnh siêu âm vì vậy mà rất trùng lấp với các khối u phần phụ hay các bệnh lý viêm nhiễm vùng chậu cấp tính, áp-xe vùng chậu và lạc nội mạc vùng chậu.
3.4 Cộng hưởng từ
MRI thường được chỉ định để hỗ trợ chẩn đoán vì siêu âm không thể chẩn đoán xác định. Ưu điểm của MRI so với siêu âm là có thể xác định được nguồn gốc, bản chất máu của khối u. Ngoài ra dựa trên tính hiệu trên các chuỗi xung, MRI có thể chẩn đoán các giai đoạn của xuất huyết: cấp tính (tín hiệu trung gian trên T1 và tín hiệu thấp trên T2), bán cấp (tín hiệu cao ở ngoại vi với vùng trung tâm tín hiệu thấp trên T1 và T2), mạn tính (tín hiệu cao hoàn toàn trên T1 và T2). MRI có cản quang có thể giúp nhận diện túi thai với viền tăng âm[5].
3.5 Chẩn đoán phân biệt:
• Ung thư buồng trứng thể tế bào mầm: U thường gặp ở phụ nữ tuổi sinh đẻ, triệu chứng thường đau bụng mơ hồ, kinh nguyệt không đều, đầy hơi chướng bụng, beta HCG tăng, các marker sinh hoá khác như alpha AFP, LDH cũng tăng. Một số tác giả khuyến cáo nên xem xét đánh giá để loại trừ một khối u phần phụ kèm theo tăng Beta HCG là ung thư buồng trứng thể tế bào mầm trước khi nghĩ đến TNTCMT [1].
• Viêm nhiễm vùng chậu cấp tính, áp xe vùng chậu: Triệu chứng lâm sàng tương tự TNTCMT như đau bụng dưới mơ hồ, xuất huyết âm đạo bất thường. Các triệu chứng đựac khác đi kèm theo có thể là tiết dịch âm đạo bất thường và có thể có mùi khó chịu, đau khi giao hợp, sốt. Xét nghiệm sinh hoá máu cho thấy các marker nhiễm trùng tăng cao và beta HCG âm tính.
• Lạc nội mạc tử cung có thể ở buồng trứng, cùng đồ sau, dây chằng rộng… Bệnh nhân có triệu chứng đau bụng dưới khi hành kinh, đôi khi đau vùng chậu không liên quan đến kinh nguyệt, kinh nguyệt không đều, đau khi giao hợp. Xét nghiệm công thức máu có thể giúp phân biệt với bệnh lý viêm nhiễm vùng chậu và đánh giá được tình trạng thiếu máu. MRI vượt trội siêu âm trong nhóm bệnh lý này, giúp chẩn đoán xác định bệnh lý lạc nội mạc, đặc biệt là lạc nội mạc sâu. Tuy nhiên, tiêu chuẩn vàng vẫn là giải phẩu bệnh.
4. Xử trí
Phẫu thuật là phương pháp điều trị duy nhất vì TNTCMT không đáp ứng với điều trị nội Methotrexate. Ngoài ra chẩn đoán TNTCMT thường không thể cho đến khi phẫu thuật do vậy nội soi chẩn đoán vừa là phương pháp chẩn đoán vừa là điều trị.
KẾT LUẬN:
“Chronic ectopic pregnancy is an enigma”– “TNTCMT là điều bí ẩn” [1,2]. Chẩn đoán chính xác thường chỉ đạt được sau khi can thiệp phẫu thuật điều trị. Nồng độ Beta HCG máu thường rất thấp hoặc âm tính. Hình ảnh siêu âm rất đa dạng và trùng lấp với các bệnh lý khác ở vùng chậu. Lưu ý, chúng ta cần đánh giá để loại trừ ung thư buồng trứng tế bào mầm trước khi nghĩ đến chẩn đoán TNTCMT.
TÀI LIỆU THAM KHẢO: